Cosmetic Dental Services in State College, PA

Cosmetic Dentistry is one of the most rewarding aspects of dentistry because  it can provide the patient with a new found self confidence.  These esthetic and rehabilitating procedures can range anywhere from teeth whitening to a more advanced smile makeover.  To determine which procedure may be a good fit for you, Dr. Jeanmenne and his team utilize digital technology and lab fabricated models to analyze each case to provide the best long term solution.  We have added a Smile Design Studio to help patients with the planning process of their cases.

We offer FREE in office smile consultations

Interested, but not sure if you are in need of cosmetic services?  Email us a dental "selfie" to gain valuable feedback as to what services may be beneficial for your wants prior to scheduling your consultation.  Include the following:

Picture of your full face while smiling
Close up photo of a smile (Try to smile as big as possible)
Description of what you are looking to achieve

*Email all of your dental "selfies" to info@designerdental.com for your complimentary evaluation*


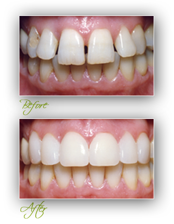
Porcelain Veneers/Crowns/Bridges

Veneers are thin materials placed on the surface of teeth and provide a more conservative approach to improve a variety of dental imperfections.  For more advanced needs, crowns or bridges can also be used to encompass the entire tooth and also produce the same desired results to improve the patient's esthetic appearance.  Our products are fabricated of the best porcelain material to provide a natural looking yet durable solution.  These types of cosmetic restorations are essential in providing resolutions to correct gaps, replace missing teeth, crowding, stains and chips.  


Porcelain & Composite Fillings

Before the advancements in dentistry, amalgam or "silver" fillings were the standard of care.  However, we now have the ability to replace these existing fillings with porcelain fillings called Inlays or Onlays or simply by using a composite or "white" filling.  Replacing these restorations can help patients become healthier by removing the amalgam material that contains mercury and also by removing decay as these fillings start to break down over time.  In addition to the health benefit, the tooth becomes more natural looking as if it was never filled.  


Cosmetic Bonding

For those patients who may be looking for a "quick fix" on a tight budget, cosmetic bonding may work for you. Bonding is the process of attaching tooth colored resin material to the existing tooth structure opposed to completely covering the natural tooth.  This option can help reshape teeth, close gaps, repair chips or even improve the appearance of discolored teeth.  For minor imperfections, cosmetic bonding can be a more conservative and inexpensive alternative to veneers or crowns.  


Watch this step-by-step demonstration to learn how to use PHILIPS ZOOM! DayWhite and NightWhite. Over 10 million patients have used PHILIPS ZOOM! to achieve brighter, healthier smiles, making it the #1 patient-requested professional whitening treatment. PHILIPS ZOOM! is not only proven to whiten teeth up to eight shades, it's also safe.

Zoom! Whitening

There are many whitening options, from over the counter toothpastes, strips and oral rinses to more advanced professionally administered products.  However, if you are going to invest time and money on a solution to brighten your smile, we recommend our advanced Zoom! whitening system to help patient's achieve their desired result. Depending on your preference, we offer both in office and take home products.  Regardless of the option you choose, all patients are given trays that are custom fit to their mouth to be able to treat or touch up areas as needed over time.  Find your shade using our shade guide to determine if whitening is right for you. 


Designer Dental Smile Make-Over

Sometimes to get the best results, a combination of dental services may be the best solution to get your "Designer Dental" smile.  That is why we also offer complete smile make-overs to give a patient a full smile they can be proud of.  We customize each treatment plan to best fit the patient's budget while also giving them a solution that will want.